🌙️ Košice, 10°C Jasná obloha
Žilinak Trenčínak Prešovak Nitrak Bratislavak Trnavak Košicak Bystricak
27. apr, Jaroslav
Košicak.sk
Prihlásenie Registrácia
  • Dnes
  • Správy
  • Krimi
  • Príbehy
  • Doprava
  • Fotogaléria
  • Viac
    • Dopravný servis
    • Program kina
    • Pohotovosť lekární
    • Počasie
    • Podujatia
    • Kvízy
  • Prihlásenie Registrácia
  • 📢 Dnes
  • 📰 Správy
  • 🚔 Krimi
  • 📖️ Príbehy
  • 🚦 Doprava
  • 🎭 Podujatia
  • 🖼️ Fotogaléria
  • ❓ Kvízy
  • 🎯 Slovo dňa
  • 🎬 Program kina
  • ☀️ Počasie
  • 📂 Viac
    • 🚦 Dopravný servis
    • 🏥 Pohotovosť lekární
    • Meniny

© 2021 - 2026 mediak, s. r. o.

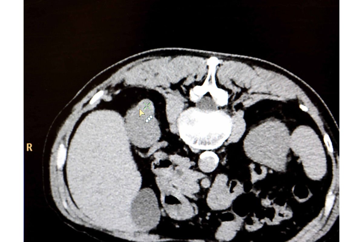
FOTO: Košická univerzitná nemocnica zaviedla pokrokovú liečbu tumorov

Foto 5 / 9 Zatvoriť
FOTO: Košická univerzitná nemocnica zaviedla pokrokovú liečbu tumorov, foto 5
Fotku priblížite kolieskom myši.
Zdroj: UNLP
Prejsť na článok

Ďalšie správy z kraja

Na posledný aprílový týždeň sú na východe naplánované odstávky elektriny, niektorí nebudú mať ani vodu

Na posledný aprílový týždeň sú na východe naplánované odstávky elektriny, niektorí nebudú mať ani vodu

FOTO: Rodina pri Košiciach zažila cez víkend chvíle plné hrôzy, najprv začala horieť tuja, potom dom

FOTO: Rodina pri Košiciach zažila cez víkend chvíle plné hrôzy, najprv začala horieť tuja, potom dom

Po košickom sídlisku sa má pohybovať skupinka mladých mužov, ktorí vyzváňajú obyvateľom a zakrývajú kameru

Po košickom sídlisku sa má pohybovať skupinka mladých mužov, ktorí vyzváňajú obyvateľom a zakrývajú kameru

Na Jazere nejazdite po pamäti! Zmenila sa prednosť v jazde aj obchádzková trasa. Ako je to po novom?

Na Jazere nejazdite po pamäti! Zmenila sa prednosť v jazde aj obchádzková trasa. Ako je to po novom?

Košicak.sk

© mediak, s. r. o.

Autorské práva sú vyhradené a vykonáva ich prevádzkovateľ.

Máte tip na článok?

  • Kontakt
  • Reklama
  • Logá
  • Regionálna sieť
  • Všeobecné podmienky
  • GDPR
  • Nastavenie súkromia
  • Cookies