☀️️
Košice,
15
°C
Jasná obloha
Žilinak
Trenčínak
Prešovak
Nitrak
Bratislavak
Trnavak
Košicak
Bystricak
27. apr, Jaroslav
Prihlásenie
Registrácia
Dnes
Správy
Krimi
Príbehy
Doprava
Fotogaléria
Viac
Dopravný servis
Program kina
Pohotovosť lekární
Počasie
Podujatia
Kvízy
Prihlásenie
Registrácia
×
📢 Dnes
📰 Správy
🚔 Krimi
📖️ Príbehy
🚦 Doprava
🎭 Podujatia
🖼️ Fotogaléria
❓ Kvízy
🎯 Slovo dňa
🎬 Program kina
☀️ Počasie
📂 Viac
🚦 Dopravný servis
🏥 Pohotovosť lekární
Meniny
Fotogaléria
•
Košice
20. apr 2025 o 15:00
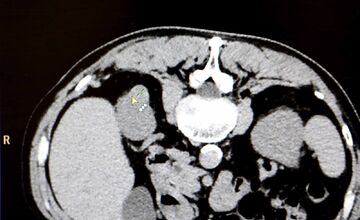
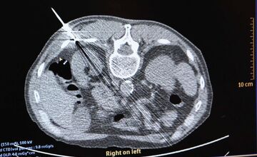
FOTO: Košická univerzitná nemocnica zaviedla pokrokovú liečbu tumorov
Súvisiaca téma
VIDEO: Nová nádej pre onkologických pacientov: Unikátna metóda zničí nádor mrazom, využívajú ju aj v Košiciach
Zdroj: UNLP
Správy emailom
Denný prehľad vždy o 17:00 hod.
Facebook kanál
Dôležité správy na Messenger
WhatsApp kanál
Rýchle správy priamo v mobile.
Poslať tip
WhatsApp
Rýchly kontakt cez mobil.
Anonymne
Formulár bez mena a kontaktu.
Najnovšie správy
Košice